Русский

All on 4 имплантатах

Antalya Health Center Antalya

Получить медицинское заключение

Заполните форму ниже и мы перезвоним вам в течение 24 часов.

Запросить консультацию

Хотите получить более подробную информацию? Свяжитесь с нами!

Вы можете связаться с нашей линией поддержки 24/7. Наша команда свяжется с вами как можно скорее.

Предоставление услуг

Наши клиники предлагают широкий спектр услуг для удовлетворения всех потребностей наших клиентов, связанных со здоровьем. Вы можете получить информацию о вашем лечении, по телефону с нашей опытной командой.

All on 4 имплантатах Бесплатное предложение

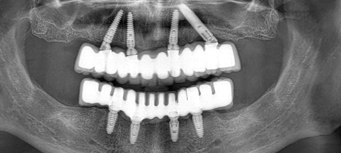
Что такое All on 4? Как лечить?

Метод имплантации All on 4 – это современная и технологичная процедура, позволяющая в один и тот же день установить зубной протез на 4 зубных имплантата у пациентов с полной адентией.

В отличие от стандартных методов имплантации, установка имплантатов под разными углами и выбор супраструктуры, соответствующей этим различиям углов, исключает 3-6-месячный период заживления, ожидаемый без зубов, до тех пор, пока протез не будет изготовлен в классической системе имплантатов.

Методика имплантации All on 4  планируется и безопасно применяется к пациенту после проведения клинического и рентгенологического обследования пациента, проведения необходимых измерений с помощью компьютерной томографии. Система имплантатов All on 4— идеальный метод использования фиксированных зубов для пациентов с потерей костной массы задних зубов.

На следующий или один день после установки имплантатов пациенту надевают несъемный временный зубной протез и оставляют имплантаты приживаться вместе с этими временными зубами. После достижения остеоитеграции пациенту устанавливаются постоянные эстетические зубы.

6 дней
Услуги трансфера
Варианты размещения
Поддержка медсестры/ассистента
1 год последующего наблюдения

Хотите получить предложение?

Лечение планируется индивидуально. Вам необходимо поделиться с нами информацией о своем лечении, чтобы мы могли предоставить вам правильное планирование. В частности, нам необходимы ваши фотографии, рентгеновские снимки, анализы и предыдущая медицинская информация, чтобы помочь вам. После того как ваша информация дойдет до нас, ваш консультант по вопросам здравоохранения свяжется с вами как можно скорее.

Часто задаваемые вопросы

Что представляет собой процедура имплантации зубов All on 4?

Процедура All on 4 предполагает установку четырех зубных имплантатов в каждую челюсть для поддержки полной зубной дуги протеза. Два имплантата устанавливаются вертикально спереди, а два имплантата – под углом сзади, чтобы обеспечить максимальный контакт с костью.

Сколько времени занимает процедура All on 4?

Первоначальная операция по установке имплантатов и установке временного протеза обычно может быть завершена в течение одного дня. Весь процесс, включая время восстановления и установку окончательного протеза, может занять несколько месяцев.

Болезненна ли процедура All on 4?

Поскольку операция проводится под наркозом, пациенты обычно не чувствуют боли во время процедуры. После операции можно ожидать некоторого дискомфорта и отека, которые можно облегчить с помощью обезболивающих, назначенных стоматологом.

Какова вероятность успеха имплантатов All on 4?

Имплантаты "All on 4" имеют высокий уровень успеха, часто называемый 96% или выше. Успех зависит от нескольких факторов, включая здоровье пациента, качество кости и соблюдение инструкций по послеоперационному уходу.

Можно ли использовать All on 4 как для верхней, так и для нижней челюсти?

Да, All on 4 можно использовать для замены зубов как верхней, так и нижней челюсти.

Как долго служат имплантаты All on 4?

Имплантаты, как правило, могут служить всю жизнь при правильном уходе и регулярных осмотрах. Зубные протезы могут незначительно отличаться по времени использования. При хорошем уходе и регулярных осмотрах срок службы зубных протезов может составлять от 15 до 20 лет и более. Поэтому регулярный уход за зубами и периодические осмотры важны для долгосрочного и здорового использования зубных протезов и имплантатов. Как команда Dental Clinic Turkey, мы всегда готовы предоставить вам периодические осмотры и стоматологическую помощь.

Что делать, если у меня недостаточно кости для имплантатов?

Пациентам с недостаточным количеством костной ткани перед установкой имплантата могут потребоваться дополнительные процедуры, такие как костная пластика, для укрепления кости. В технике All on 4 угловое размещение задних имплантатов часто позволяет использовать существующую кость, сводя к минимуму необходимость трансплантации.

Сколько стоит лечение All on 4?

Стоимость All on 4 может сильно варьироваться в зависимости от местоположения, опыта стоматолога и индивидуальных потребностей пациента. Обычно она изменяется от 3000 до 5000 евро за зубную дугу.

Смогу ли я нормально питаться с имплантами All on 4?

Да, после начального периода восстановления пациенты могут есть самую разнообразную пищу. Имплантаты обеспечивают стабильность, аналогичную естественным зубам, обеспечивая нормальную жевательную и кусательную функции.

Могу ли я получить имплантаты All on 4, если у меня уже есть стоматологические работы или имплантаты оказались неудачными?

Да, All on 4 часто можно использовать для замены существующего стоматологического лечения или дефектных имплантатов. Ваш стоматолог оценит вашу конкретную ситуацию, чтобы определить лучший план лечения.

Каковы риски, связанные с имплантацией «All on 4»?

Как и при любой хирургической процедуре, существуют такие риски, как инфекция, отказ имплантата, повреждение нервов и осложнения анестезии. Однако эти риски относительно невелики, и процедура обычно считается безопасной.

Можно ли проводить процедуру All on 4 людям с заболеваниями десен?

Пациентам с активным заболеванием десен необходимо пройти курс лечения перед началом процедуры All on 4. Здоровые десны важны для успеха имплантации.

Сколько времени занимает установка имплантата All on 4?

В зависимости от количества имплантатов и области установки процедура занимает от 30 до 60 минут.

Бесплатное предложение